What is the most likely diagnosis?
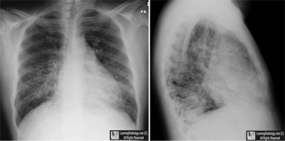
- 34 year-old immunocompromised male

Frontal and Lateral Radiographs of the Chest
- Mitral Stenosis
- Eosinophilic Granuloma
- Pneumocystis Pneumonia
- Emphysema
- Multiple AVMs
Additional Image-None

Additional Images
None

Answer:
3. Pneumocystis Pneumonia
More (Click Discussion Tab)
Pneumocystis Pneumonia
General Considerations
- Most common cause of interstitial pneumonia in immunocompromised patients
- Organism
- Protozoan / fungus Pneumocystis carinii (jiroveci)